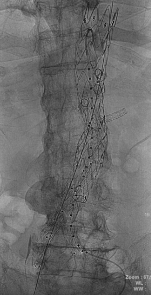
วันที่ 22 กันยายน 2568 ที่โรงพยาบาลหาดใหญ่ อำเภอหาดใหญ่ จังหวัดสงขลา นายแพทย์ไชยสิทธิ์ เทพชาตรี ผู้อำนวยการโรงพยาบาลหาดใหญ่ พร้อมด้วยทีมแพทย์ผู้เชี่ยวชาญ ได้แก่ นายแพทย์นฤเทพ หนูไชยแก้ว, นายแพทย์กิตติกานต์ ทองซ้อนกลีบ, นายแพทย์วิศรุต จิรพงศกร และทีมพยาบาลหน่วยศัลยศาสตร์หลอดเลือด ร่วมกับทีมวิสัญญีโรงพยาบาลหาดใหญ่ โดยมีความร่วมมือจาก นายแพทย์วิทวัส ตันตรัตนพงษ์ ศัลยแพทย์หลอดเลือด โรงพยาบาลสงขลานครินทร์ ได้ทำการผ่าตัดรักษาผู้ป่วยโรคหลอดเลือดในช่องท้องโป่งพองสำเร็จ
การผ่าตัดดังกล่าวใช้เทคนิค PMEG EVAR (Physician-Modified Endograft Endovascular Aneurysm Repair) ซึ่งเป็นนวัตกรรมขั้นสูงในการรักษาโรคหลอดเลือด โดยเป็นครั้งแรกที่โรงพยาบาลหาดใหญ่สามารถดำเนินการได้สำเร็จ ถือเป็นก้าวสำคัญในการยกระดับศักยภาพการรักษาโรคหลอดเลือดของโรงพยาบาลหาดใหญ่และพื้นที่ภาคใต้
ความสำเร็จครั้งนี้สะท้อนถึงการบูรณาการความร่วมมือระหว่างโรงพยาบาลหาดใหญ่และโรงพยาบาลสงขลานครินทร์ ที่มุ่งยกระดับมาตรฐานการแพทย์ เพื่อตอบสนองต่อความต้องการรักษาผู้ป่วยโรคซับซ้อนในภูมิภาค






